
лет
Терапевтическая стоматология
• Первичный обзор, составление плана лечения
• Фотопротокол
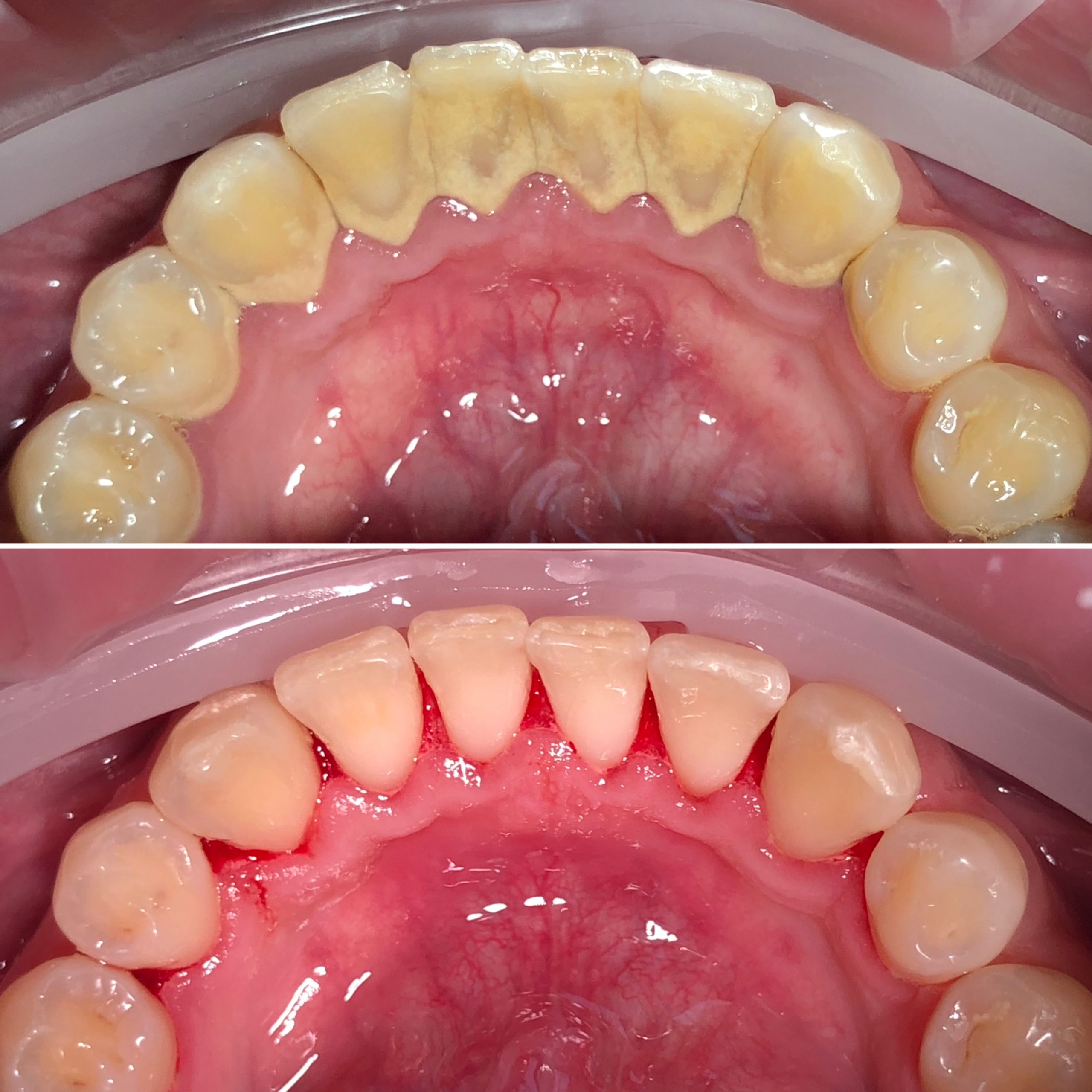
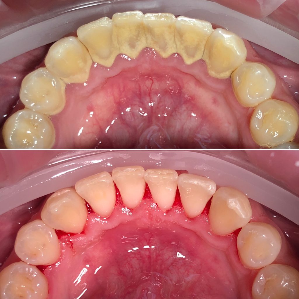
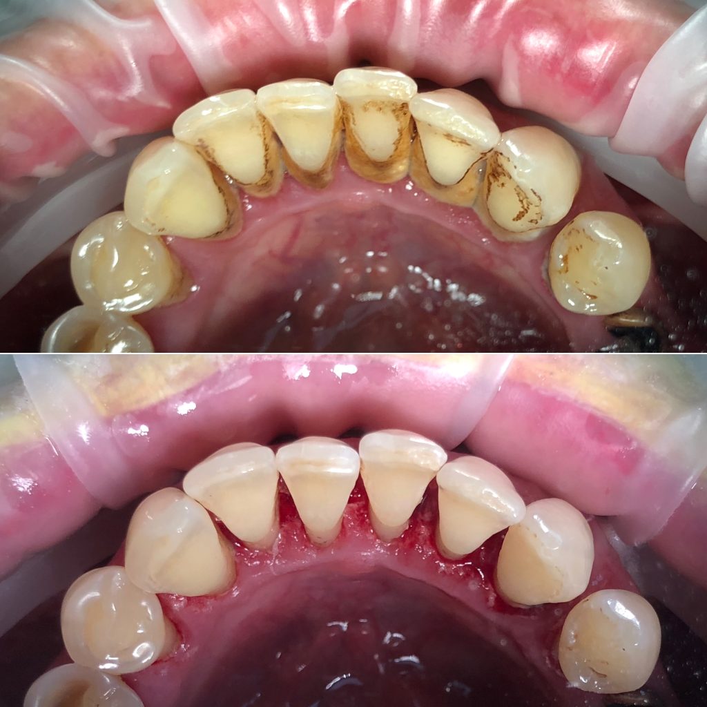
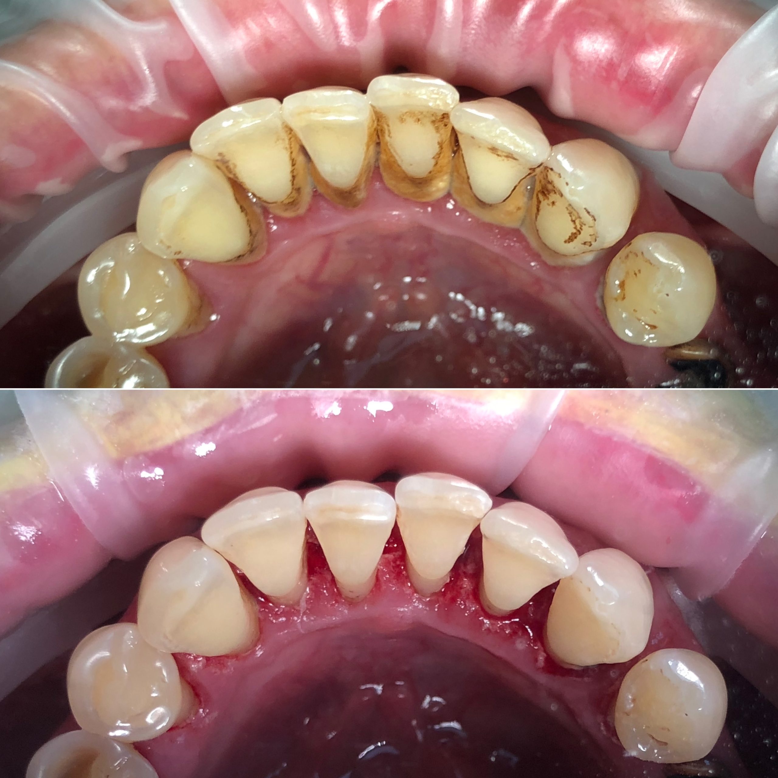
• Профессиональная гигиена полости рта и подбор индивидуальных средств гигиены, профилактика стоматологических заболеваний
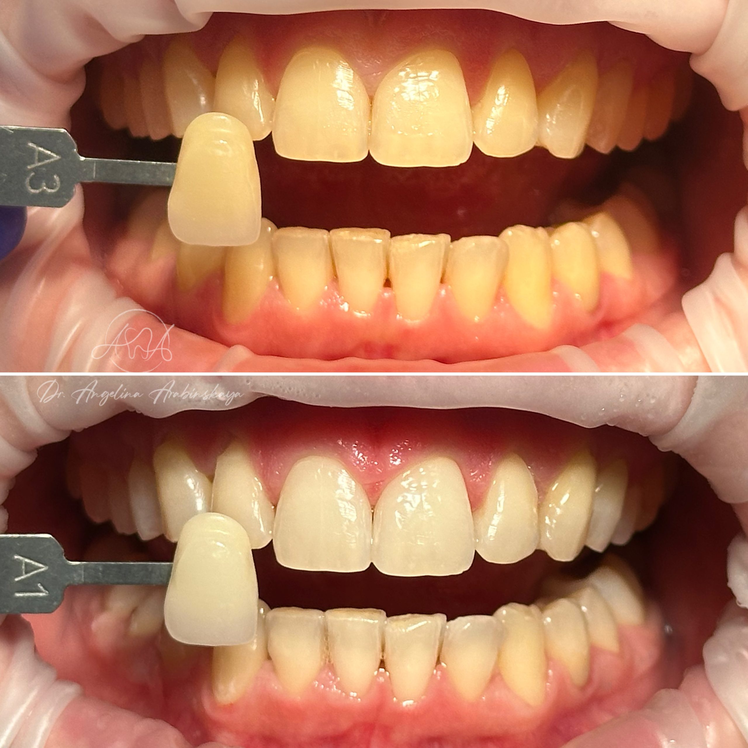
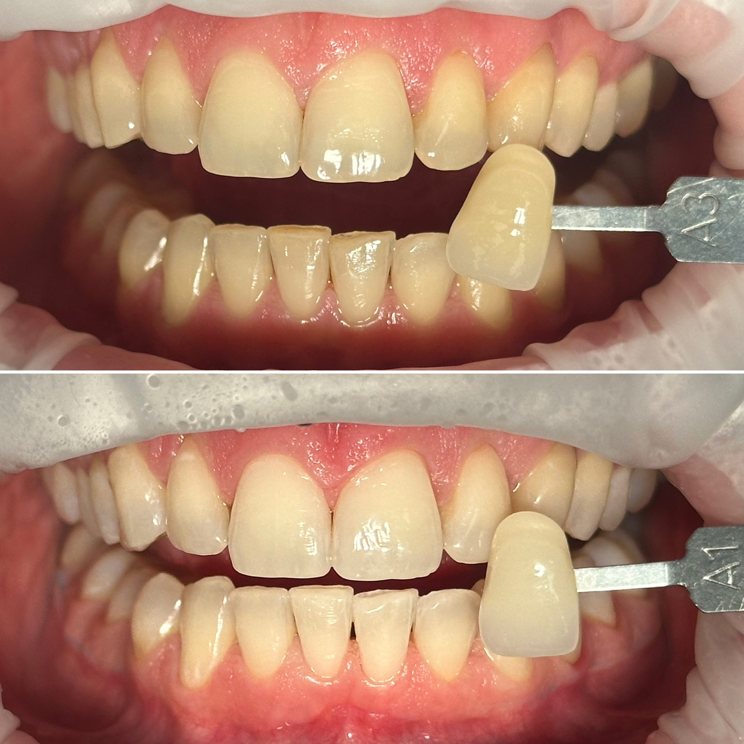
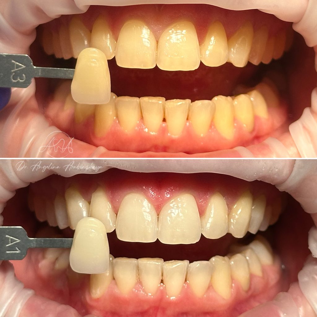
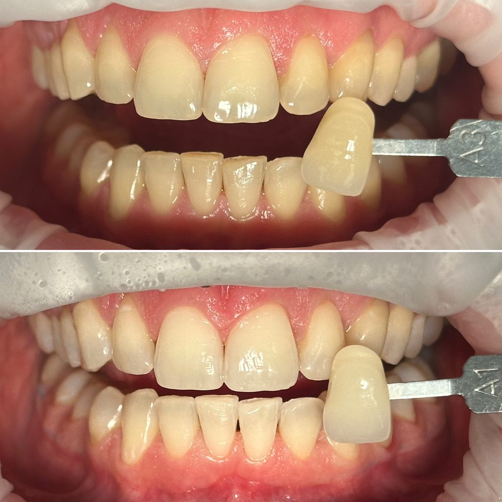
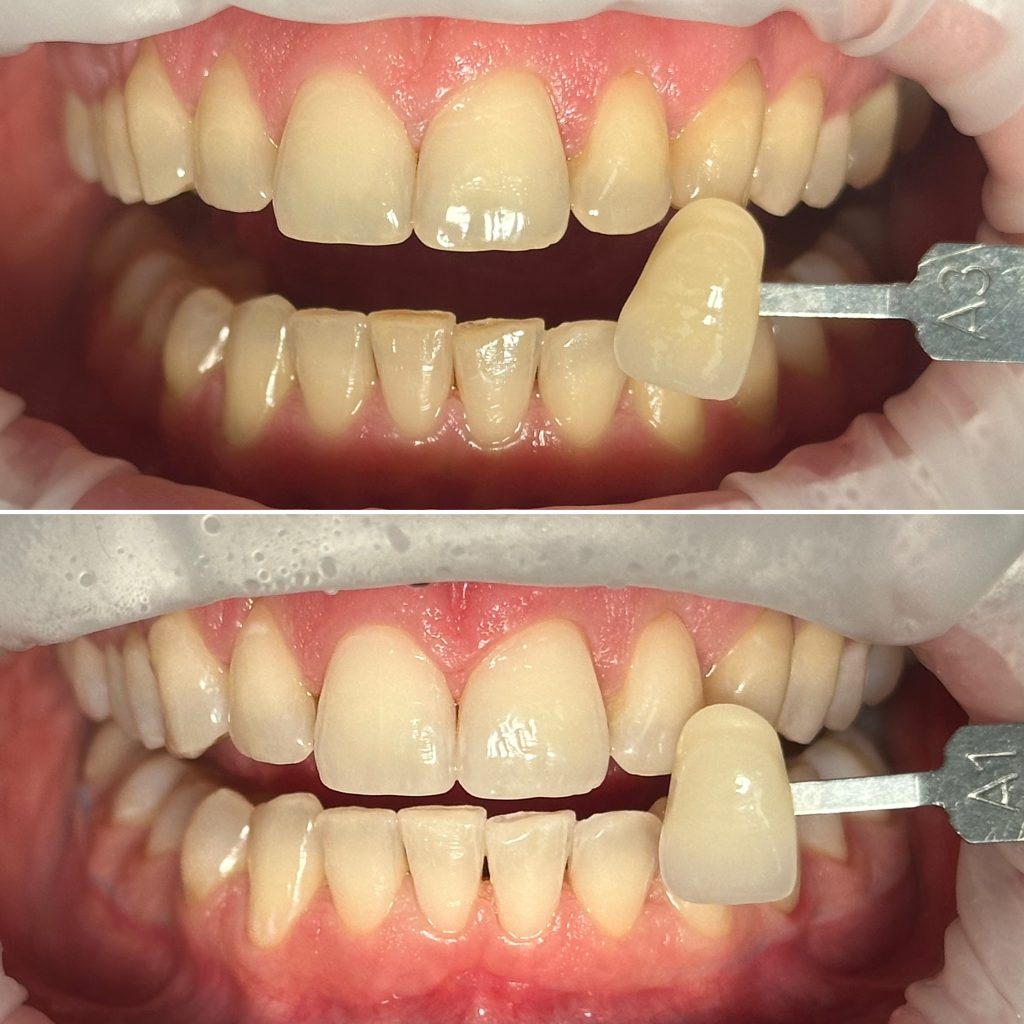
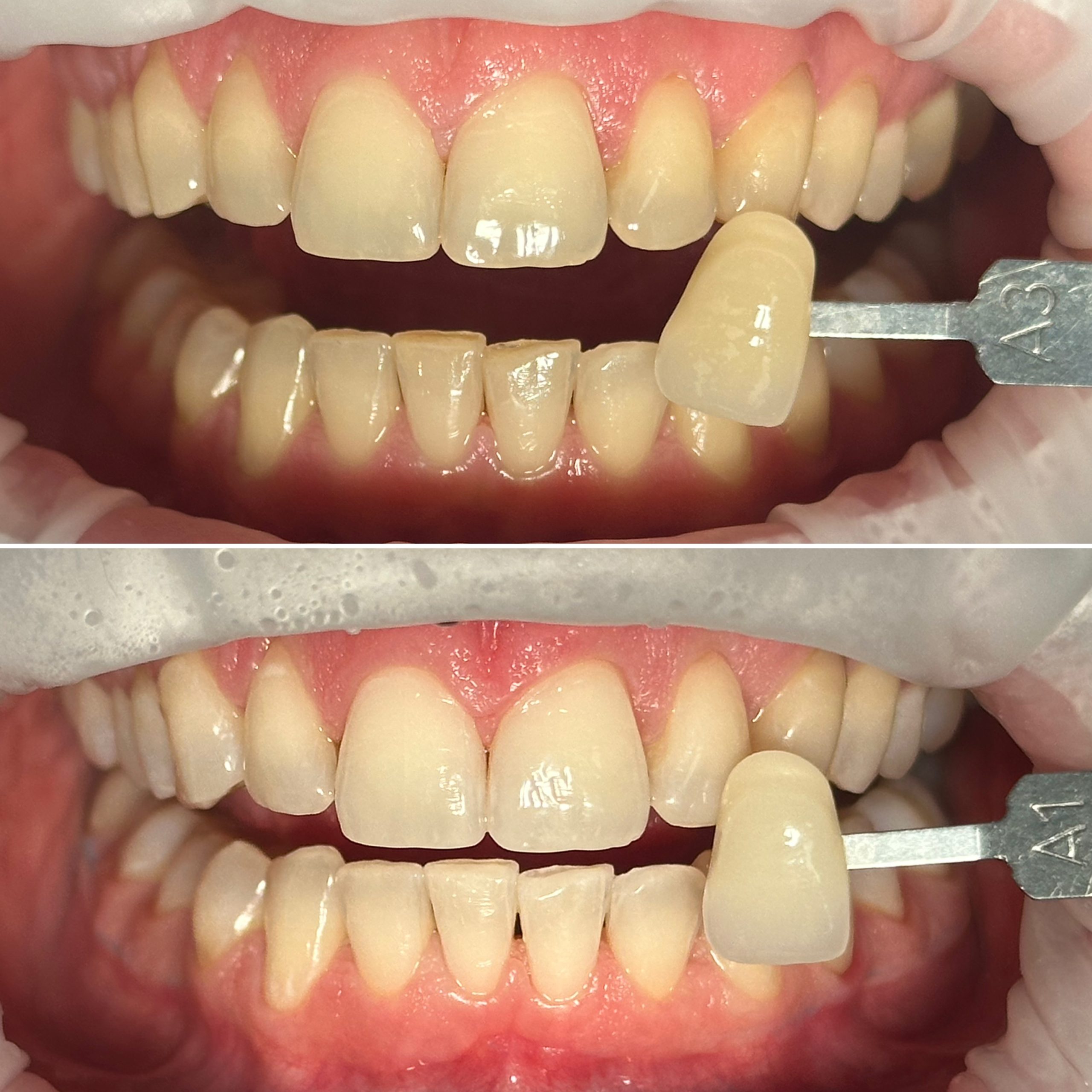
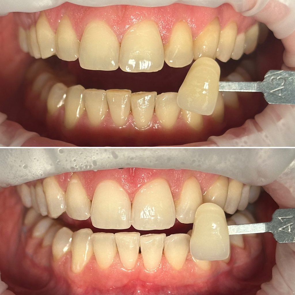
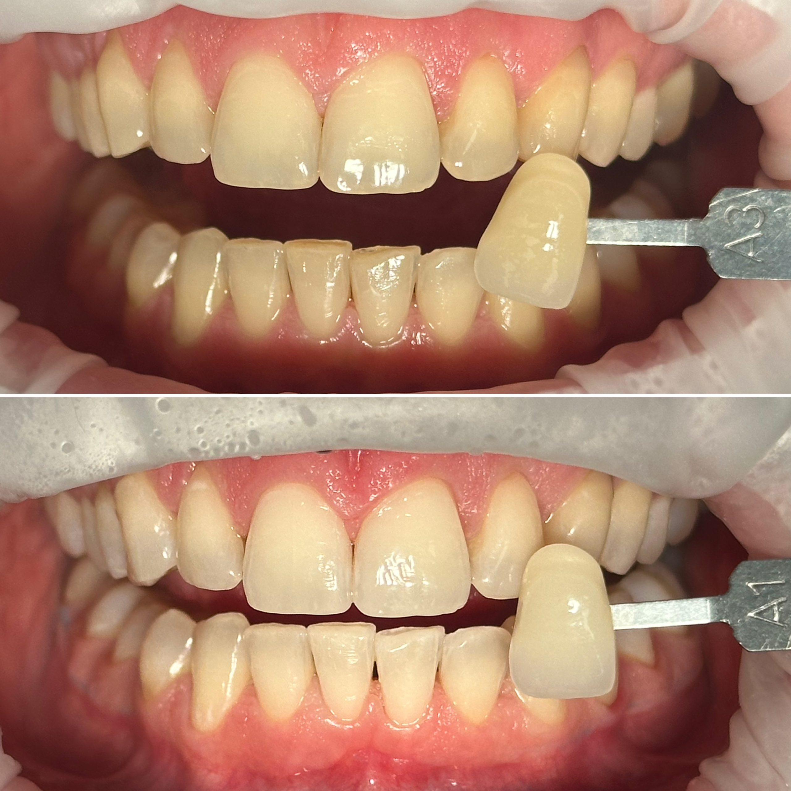
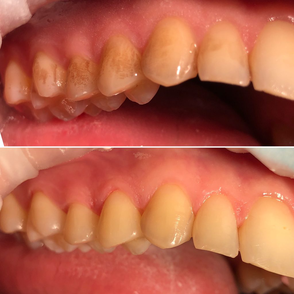
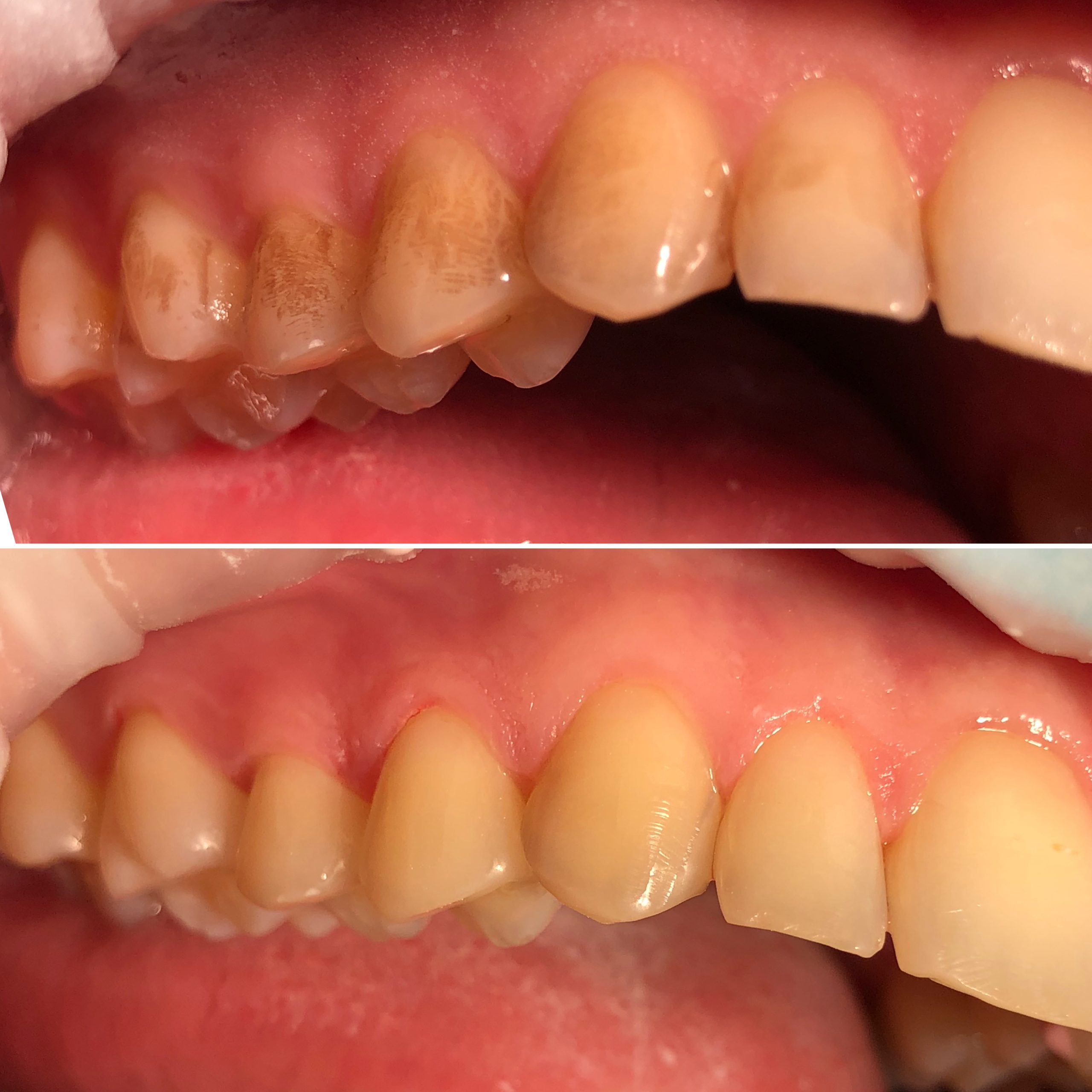
• Профессиональная отбелка зубов системой ZOOM,BEYOND
• Домашнее отбеливание зубов
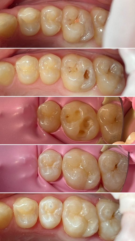
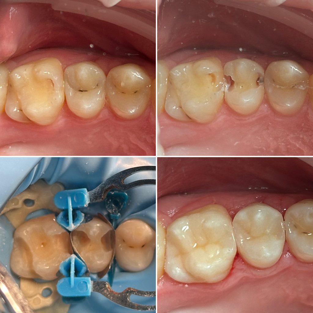
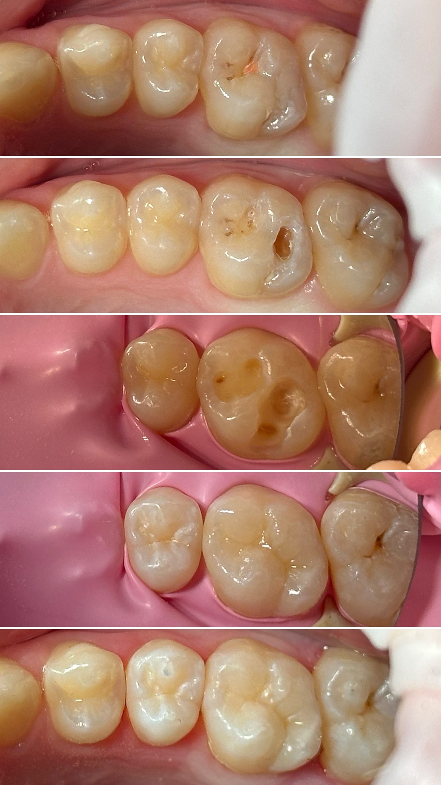
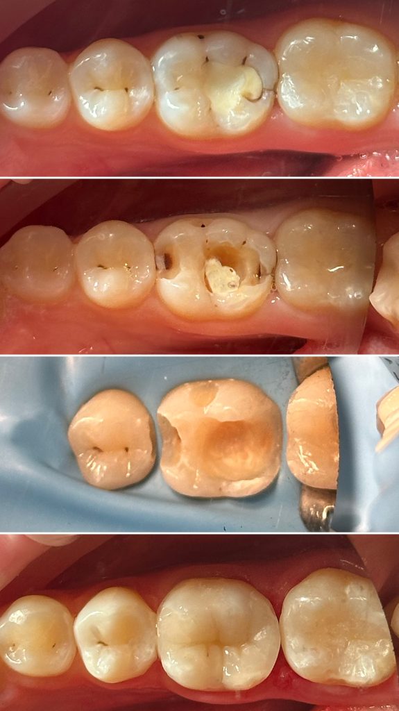
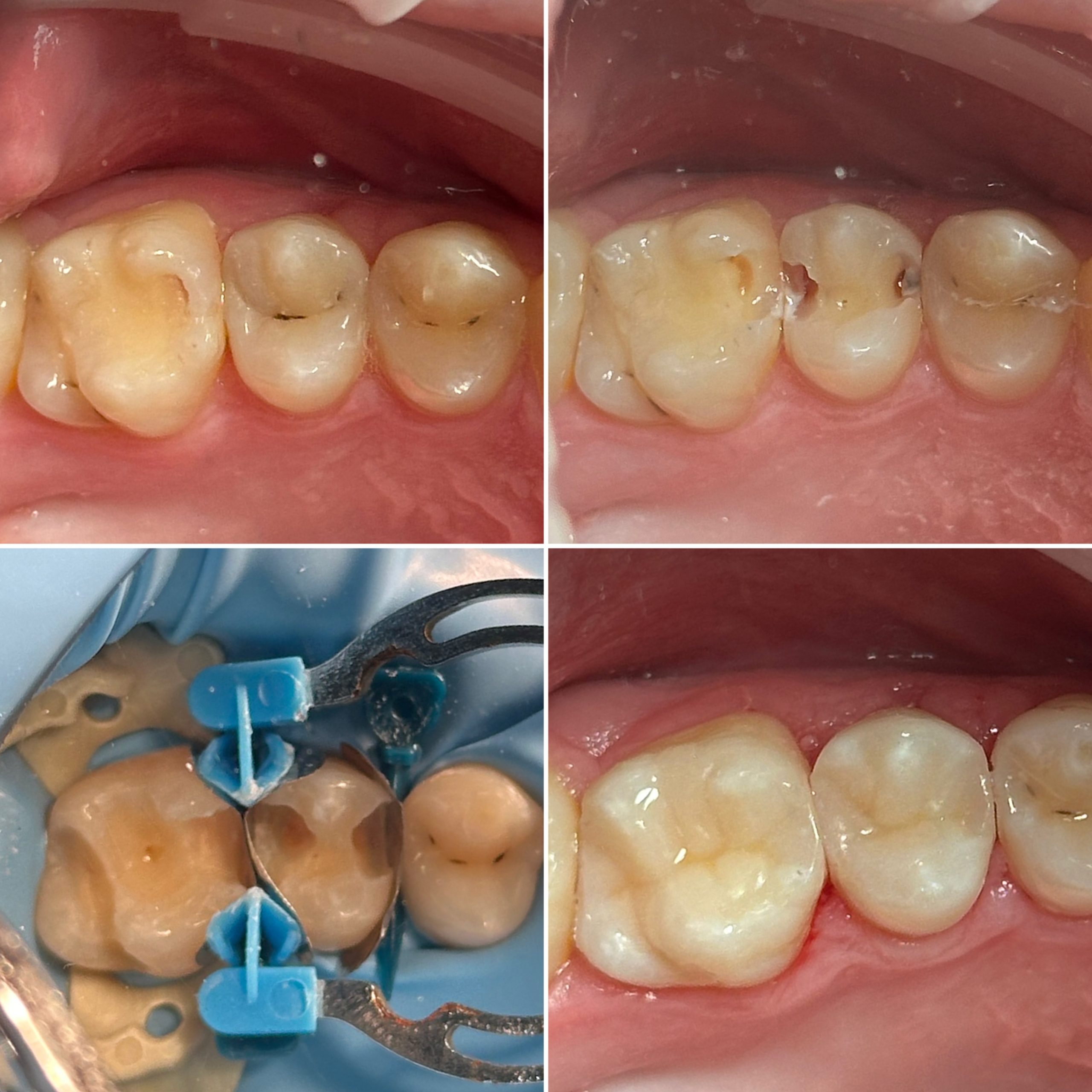
• Диагностика и лечение кариеса и его осложнений (пульпиты, периодонтиты)
• Диагностика и лечение некариозных поражений зубов
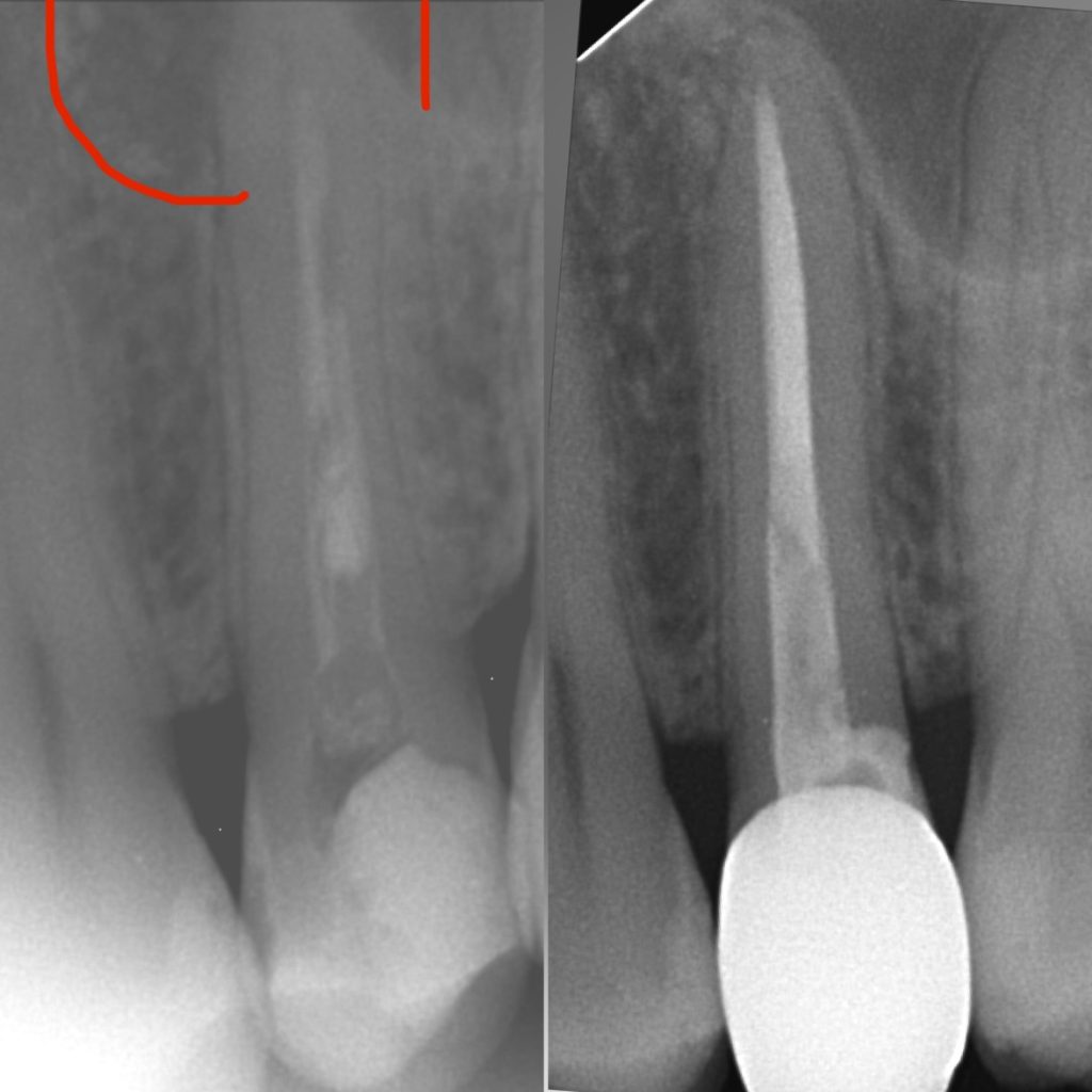
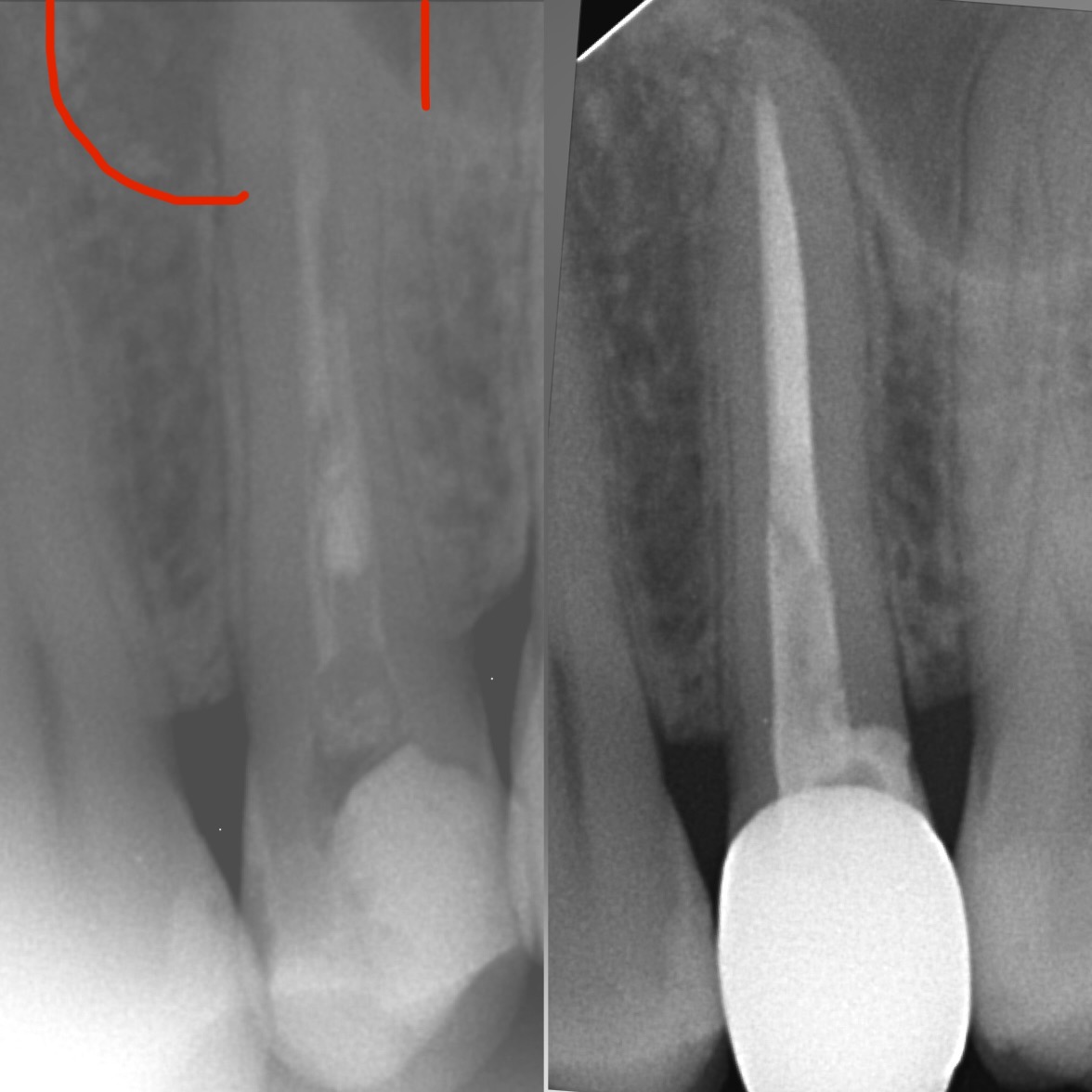
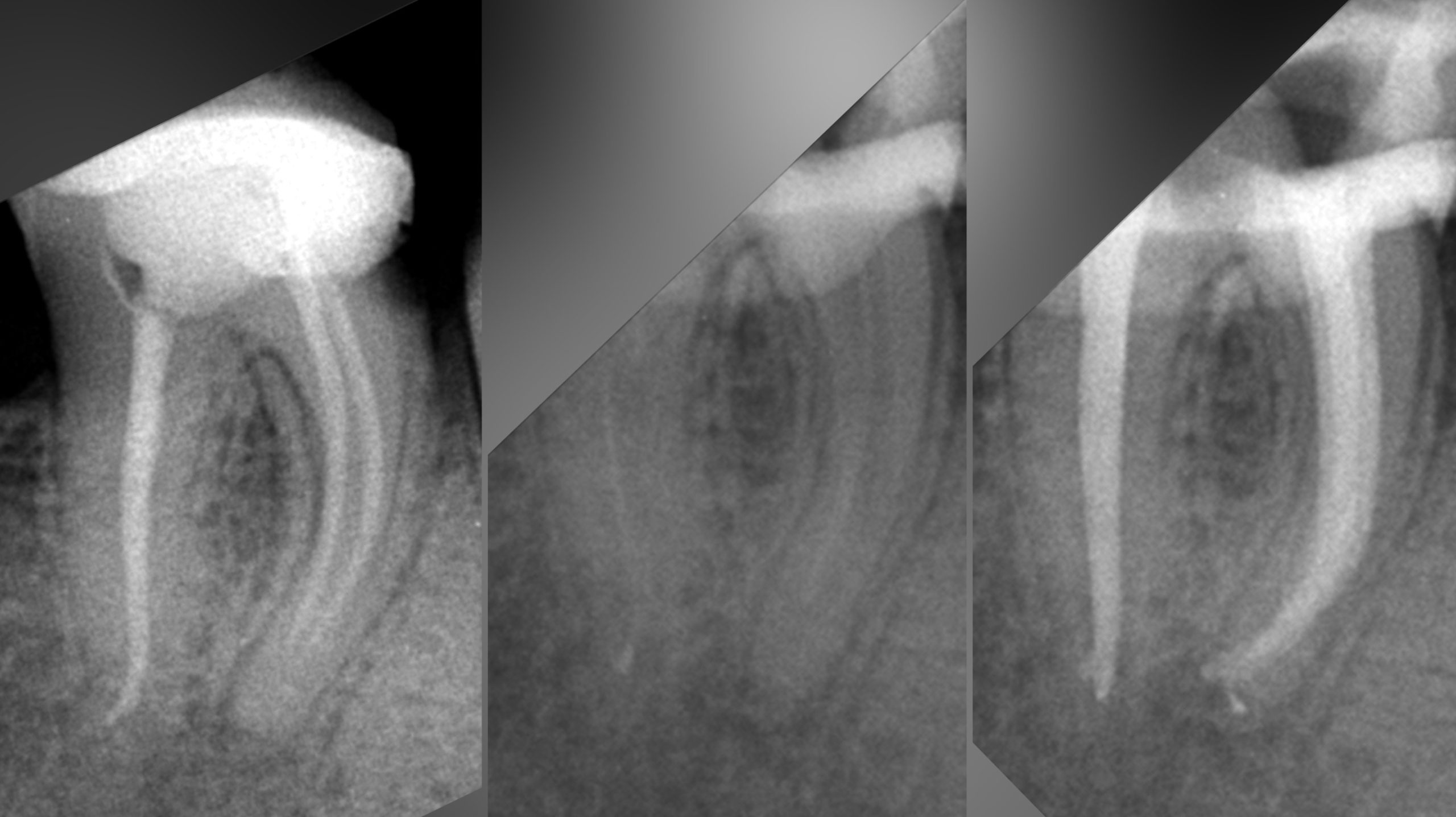
• Эндодонтическое лечение корневых каналов с использованием стоматологического микроскопа
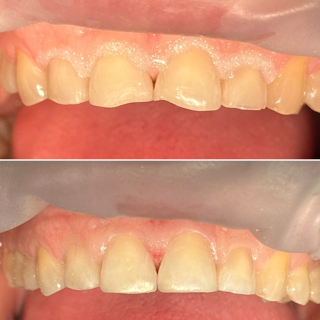
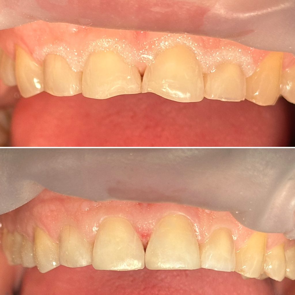
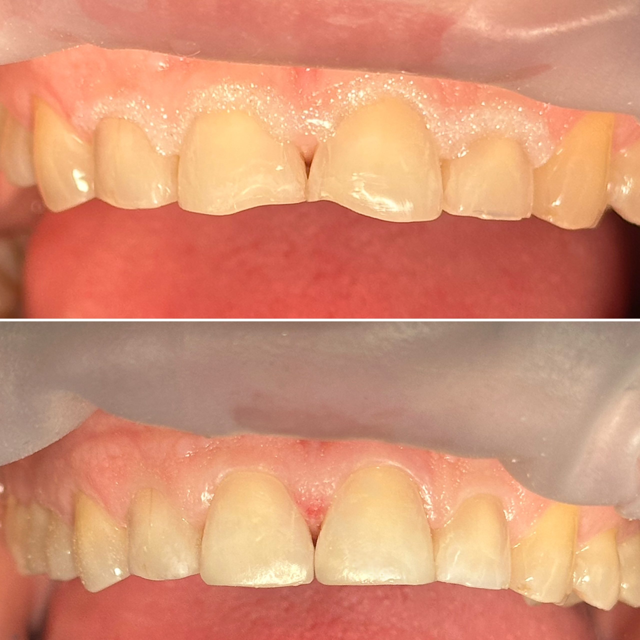
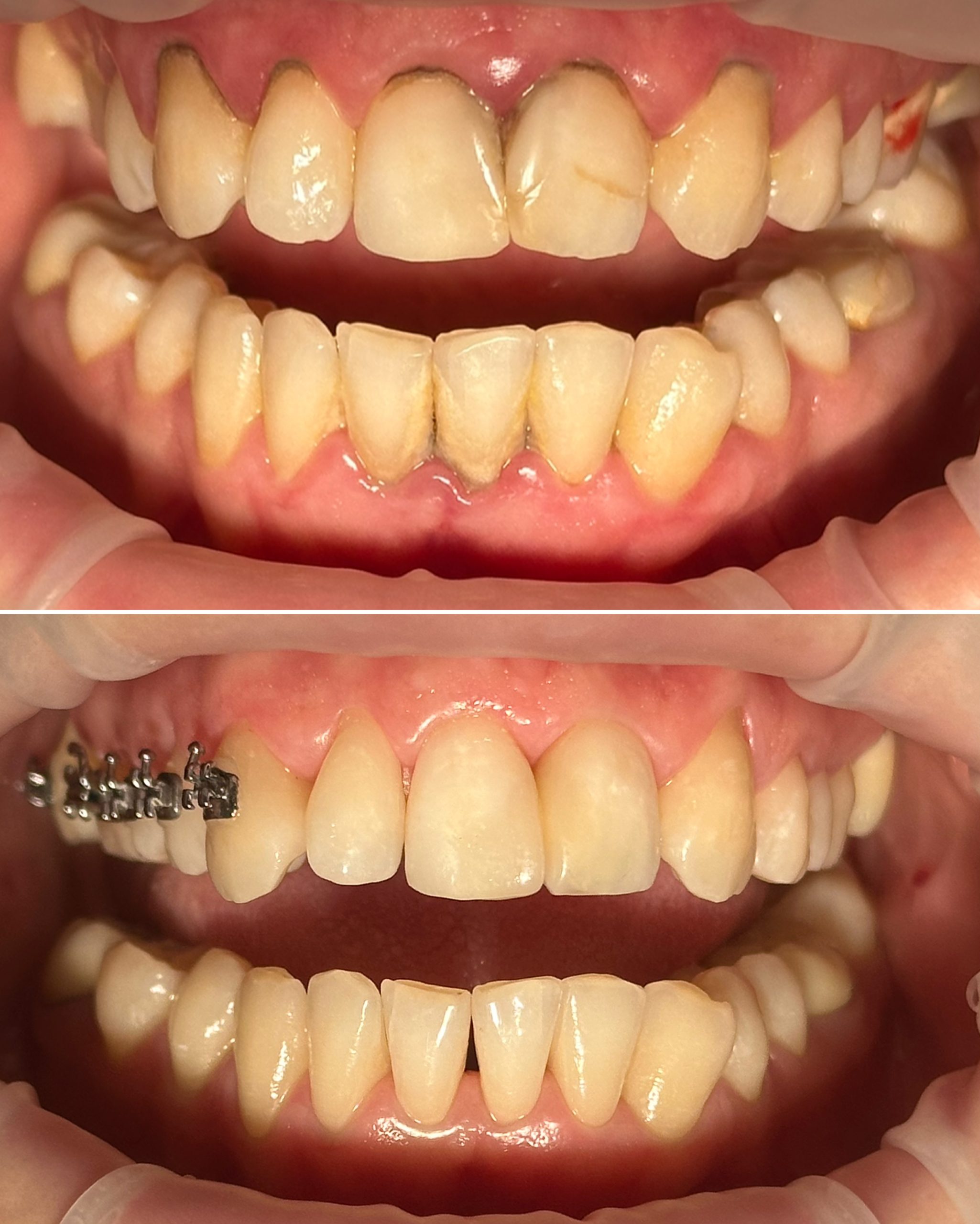
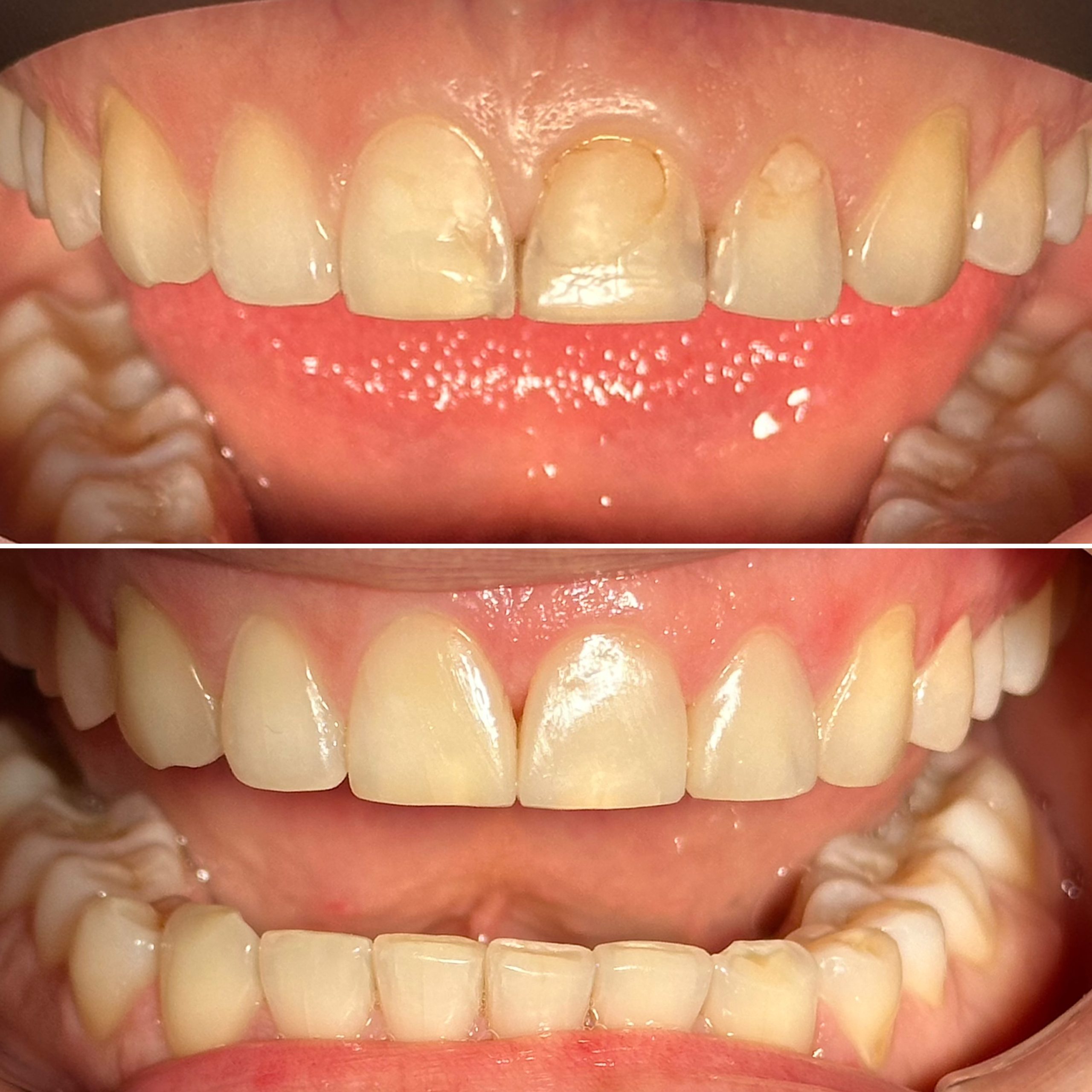
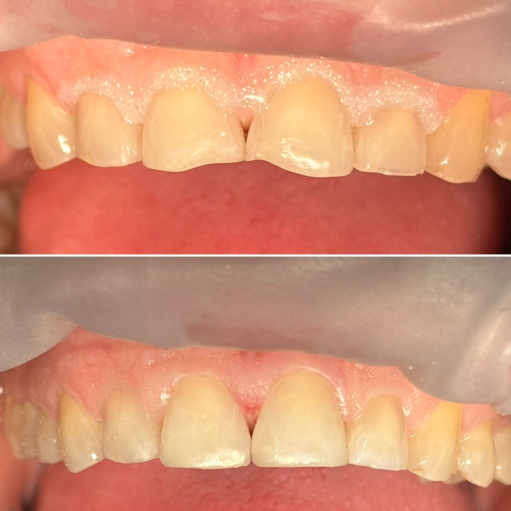
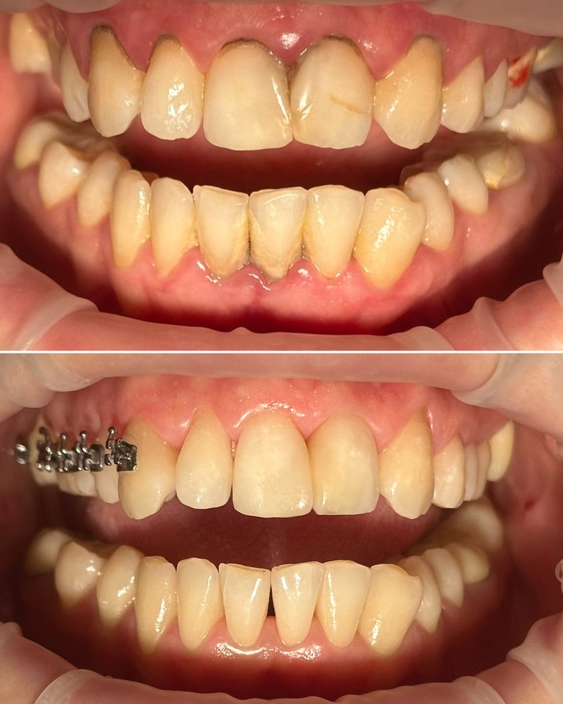
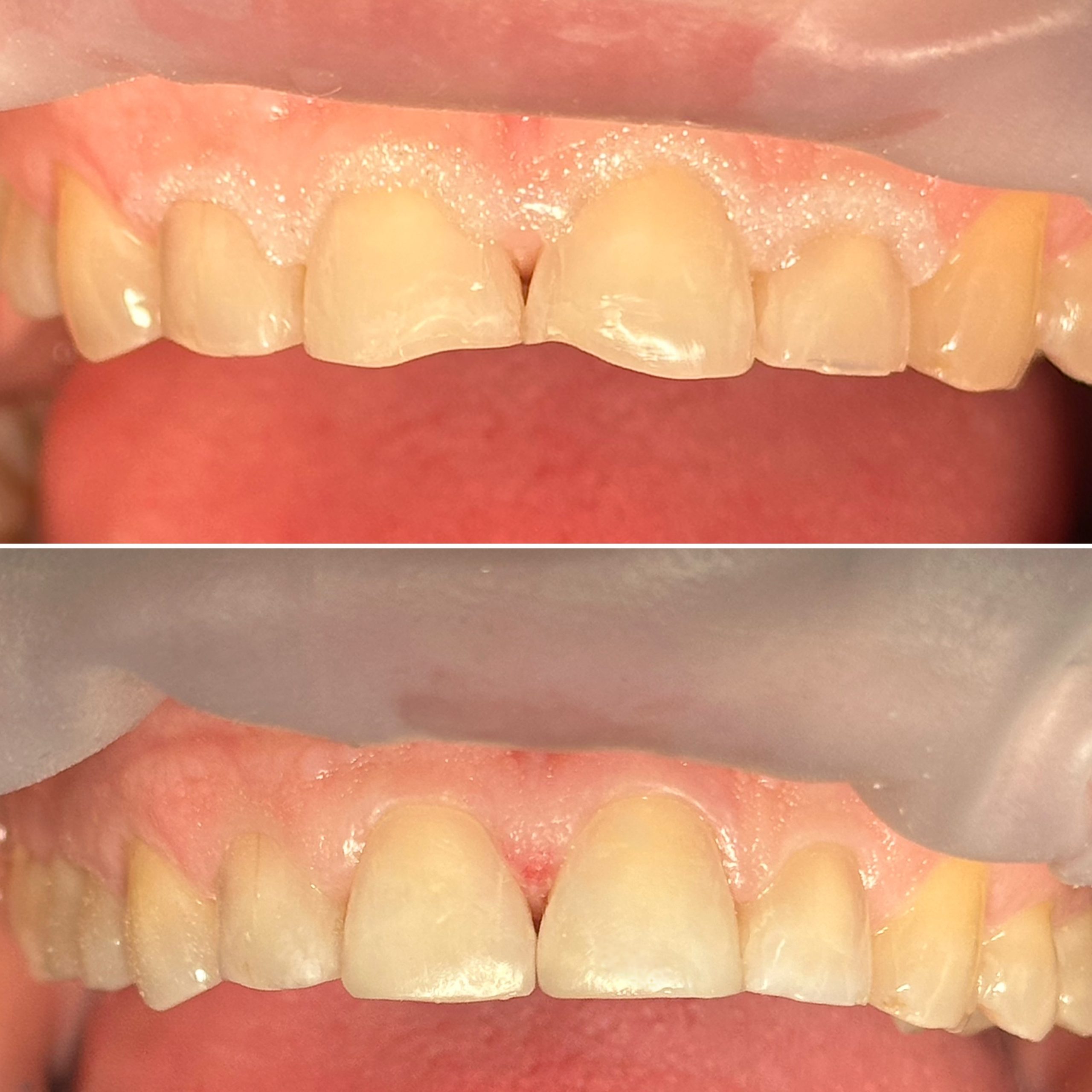
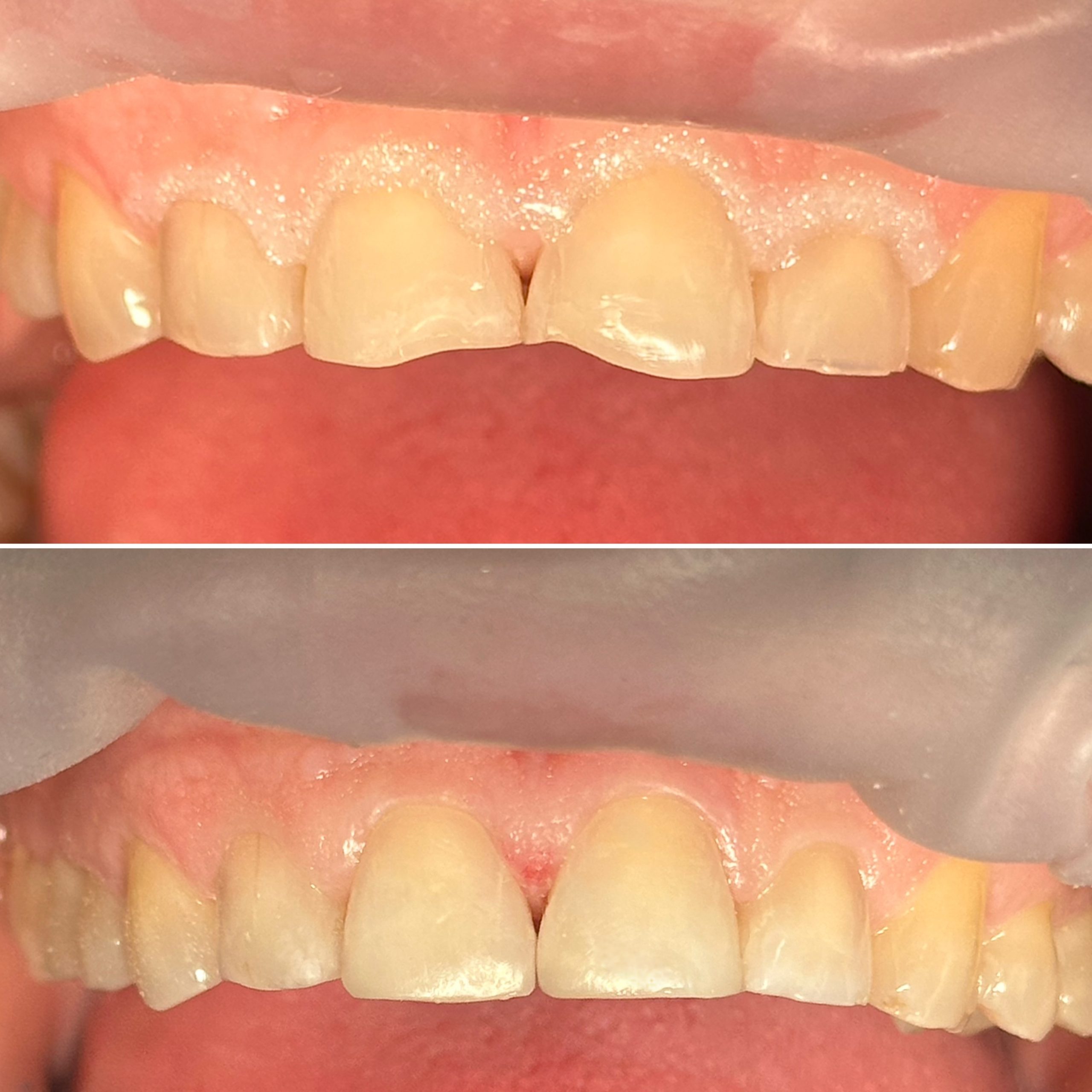
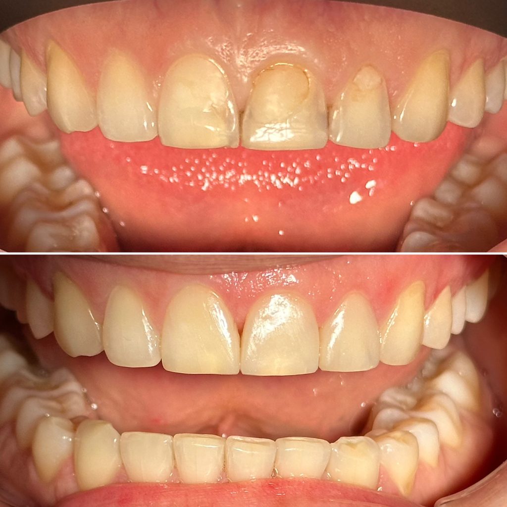
• Художественная реставрация фронтального и бокового участка зубов
• Подготовка зубов к протезированию
• Шинирование подвижных зубов с помощью стекловолоконной ленты
2016-2021 — Национальный медицинский университет им.О.О.Богомольца
2020 год-«Легкое вступление в клиническую эндодонтию. От теории к практике.» Т.Иванова
2021 год-симпозиум Симпозиум Украинского Эндодонтического сообщества «Клиническая эндодонтия»
2021 год – «Применение кофердама в стоматологической практике» учебный центр «Fenestra»
2022 год – «Прямая реставрация.Боковой сегмент.» Игорь Гудыма
2022 год – «Обезболивание в стоматологии.» учебный центр ProDent
2022 год – «Первичная эндодонтия с использованием современных клинических протоколов» Андрей Кольба
2022 год – «Заболевание СОПР. Клинические кейсы» учебный центр DSpace
2022 год – «Первая медицинская помощь при неотложных состояниях в практике врача-стоматолога» учебный центр DSpace
2022 год – Симпозиум Украинского Эндодонтического сообщества «Клиническая эндодонтия»
2022 год – Мастер-класс «Реставрация стертых зубов» Сергей Радлинский
2023 год – «Искусство дентальной фотографии для диагностики и мотивации пациента к лечению» учебный центр DSpace
2023 год – «Вектор-терапия – одна из эффективных методик в пародонтологии» учебный центр DSpace
2023 год – «Первичная эндодонтия» Виталий Весна
2023 год – «Прямая композитная реставрация фронтальной группы зубов» Владимир Мальченко
2024 год – «Отбеливание от «А» до «Я» Александр Кирманов
2024 год – «Неотложные состояния в стоматологии» Максим Левченко
2024 год – «Системный подход к лечению пациентов с заболеваниями пародонта. Ручные инструменты и SRP-терапия» Юрий Гринюка
2025 год – «Интенсивный курс медицинского английского для стоматологов» Stomat Platform
2025 год – «Школа КТ. Понимание цифрового рабочего процесса и внедрение его в ежедневную практику» Stomat Platform
2025 год — «Биомиметика — как строить устоящие зубы» Александр Байдо
2025 год – «Современные протоколы лечения эндодонтических пациентов» Dental Education Clinic,курс Елены
Драган
2025 год – «BLS – Basic Life Support by ERC – European Resuscitation Council в стоматологической практике»
Заполняя форму, я соглашаюсь с политикой конфиденциальности Dentum
Заполняя форму, я соглашаюсь с политикой конфиденциальности Dentum
Киев, Днепровская набережная 15-к
Пн — Пт — 9:00 — 20:00
Суббота – 9:00 – 15:00
Воскресенье — выходной день
Пн — Пт — 9:00 — 20:00
Суббота – 9:00 – 15:00
Воскресенье — выходной день
Киев, Днепровская набережная 15-к
Пн — Пт — 9:00 — 20:00
Суббота – 9:00 – 15:00
Воскресенье — выходной день
Пн — Пт — 9:00 — 20:00
Суббота – 9:00 – 15:00
Воскресенье — выходной день